59 Y/ Female patient with swelling in the thyroid region since 2-3 years. Now Painful and mildly increasing in size since 3 months.
Procedure details:
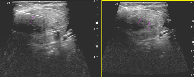
USG-guided biopsy of the lesion was done which was seen in the left lobe of the thyroid. Patient neck was extended with a pillow placed under the upper dorsal region. Easy biopsy and the samples were sent to HPE.
Needle used: 17G introducer needle. 18 G biopsy gun.
No complications post procedure. No bleeding at the site.
Leave a Comment