Precision Diagnostics & Targeted Treatment with Minimal Invasiveness
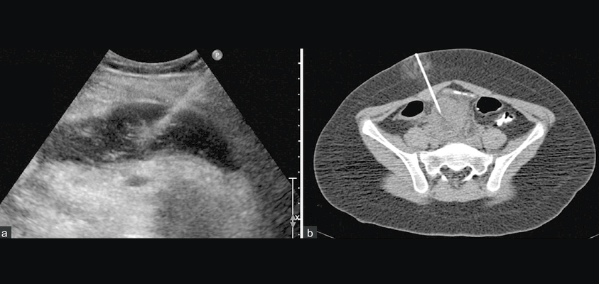
What Are USG & CT-Guided Procedures?
USG (Ultrasound) and CT (Computed Tomography)-Guided procedures are image-guided techniques that allow for accurate diagnosis and targeted interventions with minimal risk and faster recovery.
These procedures are performed using real-time imaging to guide a needle or instrument precisely to the area of concern — such as a cyst, tumor, fluid collection, or abscess — without the need for open surgery.