• Timings
  • 24 x 7
  • Borivali West, Mumbai, 400092
  • Dotom Hilton, Swami Vivekananda Rd

Colour Doppler
Ultrasound in Borivali

About Colour Doppler at Narayana Imaging

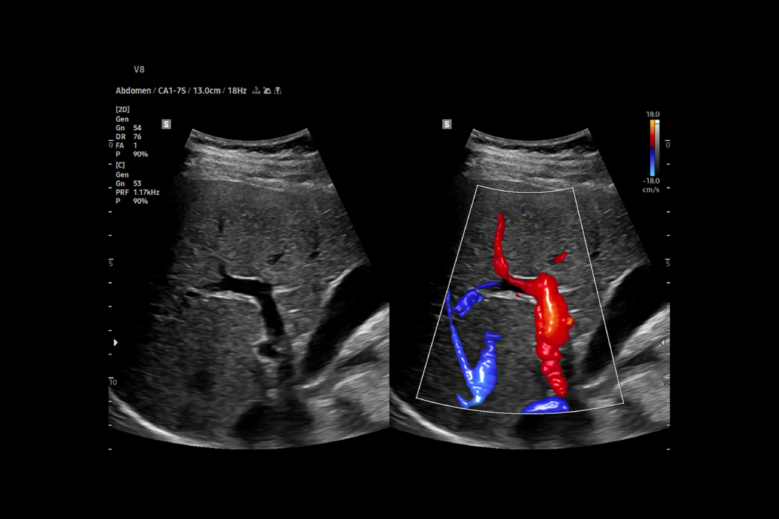
Colour Doppler Ultrasound is a specialized imaging technique that visualizes blood flow in real-time, helping doctors assess circulation in arteries and veins with exceptional clarity. At Narayana Imaging, we use state-of-the-art Doppler equipment to detect blockages, clots, and vascular abnormalities, as well as to evaluate organ perfusion and fetal well-being.
Whether you need a vascular ultrasound, cardiac Doppler, or prenatal Doppler, our advanced imaging services are designed to support timely and accurate healthcare decisions.

Benefits of Colour Doppler Ultrasound

  • Non-invasive, painless, and radiation-free
  • Assists in diagnosing heart, kidney, liver, and peripheral vascular diseasess
  • Crucial for managing hypertension, varicose veins, and circulatory disorders
  • Enhances prenatal care by monitoring fetal blood flow and placental health

Our Color Doppler Services

Vascular Ultrasound

Carotid, abdominal, renal, and peripheral arteries/veins

Cardiac Doppler

Assessment of heart and cardiac blood flow

Obstetric Doppler

Monitoring fetal health, growth, and placental circulation

Customized Diagnostic Reports

With expert interpretation by Dr. Nidhi Tyagi

Why Choose Narayana Imaging for Colour Doppler in Borivali?

At Narayana Imaging, our goal is to provide clarity, accuracy, and confidence in every scan — making us one of the best diagnostic centres in Borivali and Mumbai for Colour Doppler ultrasound services.
  • Led by Dr. Nidhi Tyagi, an experienced radiologist trusted by doctors and patients
  • Comfortable, patient-centric environment with personalized care
  • Quick and reliable reports delivered with clear explanations