• Timings
  • 24 x 7
  • Borivali West, Mumbai, 400092
  • Dotom Hilton, Swami Vivekananda Rd

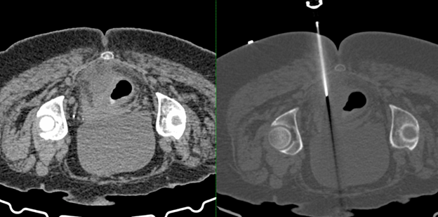
Perirectal Abscess Aspiration - Narayana Imaging & Diagnostics