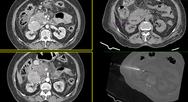
55 Y/ Female patient with abdominal pain with two avidly enhancing lesions with increased vascularity were noted just posterior to the duodenum.
Procedure details:
CT-guided biopsy of the soft tissue lesion was done from the right side in a semi left lateral decubitus position under local anesthesia. Challenge faced in supine position was the biopsy needle touching the CT table.
Needle used: 17G introducer needle. 18 G biopsy gun.
No complications post procedure. No bleeding at the site.
The patient tolerated the procedure well. Inj Pause given to the patient post biopsy.
Leave a Comment